Udana Wellness combines advanced dentistry with a patient-first approach- delivering painless treatments and long-lasting results under one roof.
Fill in your details and our team at Udana Wellness will get in touch shortly to understand your concern and guide you to the right treatment—comfortably and without any pressure.
Experience world-class treatment with India’s most trusted smile transformation experts
Our dentists are highly trained and certified, with years of experience in advanced dental procedures—ensuring safe, precise, and reliable treatment every time.
We’ve helped hundreds of patients restore their dental health and confidence with treatments that deliver real, lasting results.
From 3D imaging to digital smile planning, we use modern tools to ensure accurate diagnosis, painless procedures, and better outcomes.
Every patient is different. That’s why we create customized treatment plans and provide dedicated support throughout your entire dental journey.
+91 9810821525
Patients Served Worldwide
Trusted by Our Patients
Patient Happiness Guaranteed
Proven Smile Makeovers
At Udana Wellness, Vasant Vihar, New Delhi, we provide advanced dental treatments designed to be comfortable, precise, and long-lasting.
Our experienced dentists focus on delivering painless care using modern technology—helping you treat dental concerns early and maintain a healthy smile for years.
Whether you need treatment for tooth pain, teeth whitening, aligners, or smile correction, we ensure a smooth and stress-free experience at every step
Most people don’t need complicated dentistry, they need the right diagnosis and the right treatment plan.
At Udana Wellness, the focus is simple:
Whether it’s pain, sensitivity, alignment, or cosmetic concerns, treatments are planned with long-term oral health in mind.
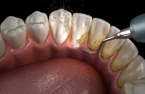
Routine cleaning removes plaque and tartar that brushing can’t. It helps prevent gum disease, bad breath, and long-term damage.
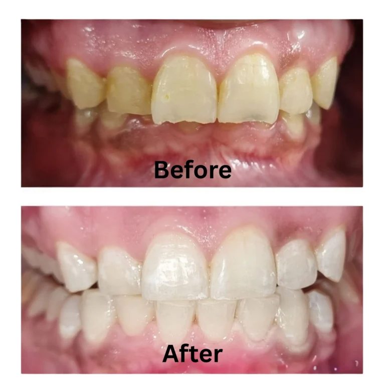
Whitening removes stains from coffee, smoking, or age. It’s a quick treatment that delivers noticeable results in just one visit.
Small gaps can be corrected using cosmetic bonding or other techniques, improving both appearance and bite balance.
Braces gently move misaligned or crowded teeth into proper position over time. They improve alignment, bite function, and overall smile appearance.
A long-term solution for missing teeth. Implants restore chewing ability and look close to natural teeth.
Used to improve shape, color, and minor alignment issues, veneers are a common option for smile enhancement.
Infected teeth can often be saved with root canal treatment, preventing extraction and restoring normal function.
When a tooth cannot be saved, extraction is done carefully with minimal discomfort and proper aftercare.
Instead of masking sensitivity, treatment focuses on identifying the cause—whether enamel wear, gum issues, or decay.
After alignment treatments, retainers help maintain results and prevent teeth from shifting back.
Routine cleaning removes plaque and tartar that brushing can’t. It helps prevent gum disease, bad breath, and long-term damage.
Restore damaged or decayed teeth with advanced restorative treatments. This helps improve function, strength, and overall oral health while maintaining a natural look.

















Google Reviews
Satisfied
Transformations
Patients often come in after searching for a dental clinic nearby or trying to figure out which option makes sense for their problem. What they usually need is not more options—but better guidance. That’s where proper consultation matters.
The main difference is time and approach. Most clinics are high-volume. We’re not. You get a proper consultation, a clear diagnosis, and a treatment plan that’s actually explained to you. We also don’t recommend treatments unless they’re genuinely necessary.
You don’t have to figure that out yourself. Our experts will examine your condition and recommend the most suitable treatment based on your needs and goals.
Yes, we specialize in painless RCT using modern equipment and precise techniques to ensure a smooth and comfortable experience.
Simple procedures like fillings, cleanings, and whitening can often be completed in one visit. More involved treatments like root canals, implants, or aligners take multiple appointments. We’ll give you a realistic timeline during consultation.
The best dental clinic is one that offers experienced doctors, advanced technology, and patient-focused care. Udana Wellness is trusted by many patients for its quality treatments and comfort-first approach.
For certain procedures like cleaning, whitening, and minor treatments, same-day appointments are available.
We focus on painless treatments, advanced technology, personalized care, and a premium patient experience—all under one roof.
Absolutely. We specialize in treating anxious patients with a calm, patient-first approach to make your visit stress-free and comfortable.
+91 9810821525
+91 9821621249
011 46595668
A 6/16, Vasant Vihar, Delhi - 110057
14 Poorvi Marg, vasant Vihar, Delhi-110057
udanawellness@gmail.com
Monday to Saturday
10 am to 7 pm
WhatsApp us